发布时间:2025-12-26 浏览: 次
近日,我院牙体牙髓科收到一面来自患者郑女士的锦旗,感谢蒋士勇医生及护理团队,为她成功保留了一颗治疗难度很大的后牙。

此前,郑女士因左下后牙反复疼痛曾在外院接受过治疗,但问题并未得到解决。
郑女士辗转来到我院,经过蒋士勇医生检查,发现情况远比想象中复杂:患牙不仅存在根管治疗不完善、根尖区已有暗影,更棘手的是,牙齿内部发生了“侧穿”(即根管侧壁被意外穿通),且填充材料超出根尖近4毫米。这些复杂的失败情况,使得常规的根管再治疗难以施行,按照传统方案,拔除患牙几乎是唯一选择。

面对郑女士保留自然牙的愿望,蒋医生没有轻言放弃。经过严谨的评估,蒋医生团队为患者制定了个性化的“意向性再植术”治疗方案。

这是一种极具挑战性的技术,其核心是将牙齿完整拔除,在体外显微镜下进行精准的根尖切除、侧穿修补等操作后,再将牙齿植回原牙槽窝。
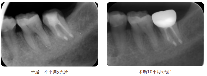
手术过程中,在护理团队的协助下,蒋医生在显微镜下逐步完成了所有精细步骤。最终,这颗经过体外处理的牙齿被成功植回。

术后,郑女士恢复顺利。牙齿稳定愈合,并在约10个月后完成了牙冠修复,恢复了咀嚼功能。

经过术后近三年的定期复查,该牙齿情况稳定,治疗效果得以确认,最终保住了这颗天然牙。郑女士专程送来锦旗,表达对医疗团队的感谢。

每一次对复杂病例的深入探讨与努力,都源于对专业的坚守,牙体牙髓科团队将持续用心守护每一颗值得保留的牙齿。

